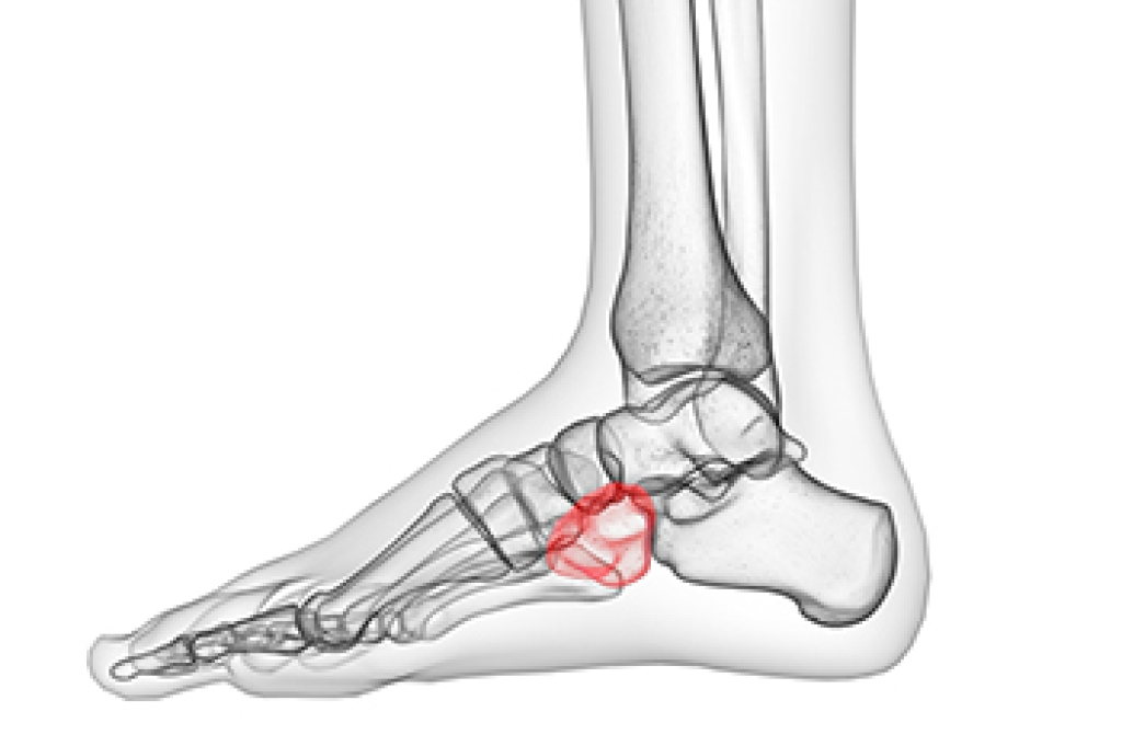
The Nutcracker is a famous and challenging ballet. It’s name has also been used to refer to a type of foot fracture involving the cuboid bone (located near the center of the foot) that can be seen in ballet dancers. A nutcracker fracture is characterized by a cuboid bone that is crushed in between the heel bone (calcaneus) and the third and fourth toe bones (metatarsals). This injury causes pain and swelling, particularly along the outside of the foot. Bearing any weight on the foot may be difficult or impossible. More severe fractures can also cause pain along the inside of the foot and visible deformity. Treatment for a nutcracker fracture may include resting, icing, and immobilizing the foot and managing pain. Surgery may be needed in severe cases. If you have injured your foot, it is strongly suggested that you seek the care of a podiatrist.
Cuboid syndrome, also known as cuboid subluxation, occurs when the joints and ligaments near the cuboid bone in the foot become torn. If you have cuboid syndrome, consult with Steven Spivak, DPM from Mount Holly Family Footcare. Our doctor will assess your condition and provide you with quality foot and ankle treatment.
Cuboid syndrome is a common cause of lateral foot pain, which is pain on the outside of the foot. The condition may happen suddenly due to an ankle sprain, or it may develop slowly overtime from repetitive tension through the bone and surrounding structures.
Causes
The most common causes of cuboid syndrome include:
- Injury – The most common cause of this ailment is an ankle sprain.
- Repetitive Strain – Tension placed through the peroneus longus muscle from repetitive activities such as jumping and running may cause excessive traction on the bone causing it to sublux.
- Altered Foot Biomechanics – Most people suffering from cuboid subluxation have flat feet.
Symptoms
A common symptom of cuboid syndrome is pain along the outside of the foot which can be felt in the ankle and toes. This pain may create walking difficulties and may cause those with the condition to walk with a limp.
Diagnosis
Diagnosis of cuboid syndrome is often difficult, and it is often misdiagnosed. X-rays, MRIs and CT scans often fail to properly show the cuboid subluxation. Although there isn’t a specific test used to diagnose cuboid syndrome, your podiatrist will usually check if pain is felt while pressing firmly on the cuboid bone of your foot.
Treatment
Just as the range of causes varies widely, so do treatments. Some more common treatments are ice therapy, rest, exercise, taping, and orthotics.
If you have any questions, please feel free to contact our office located in Lumberton, NJ . We offer the newest diagnostic and treatment technologies for all your foot care needs.






